Foto Galeri
Videolar
Yazarlar
DOLAR
43,50460
%0.21
EURO
51,64190
%-0.84
STERLİN
59,60720
%-0.72
G.ALTIN
6840,71000
%-8.47
BİST100
13.838,00
%5
BITCOIN
83.718,32
%-0.08
Ankara
Adana
Adıyaman
Afyonkarahisar
Ağrı
Aksaray
Amasya
Ankara
Antalya
Ardahan
Artvin
Aydın
Balıkesir
Bartın
Batman
Bayburt
Bilecik
Bingöl
Bitlis
Bolu
Burdur
Bursa
Çanakkale
Çankırı
Çorum
Denizli
Diyarbakır
Düzce
Edirne
Elazığ
Erzincan
Erzurum
Eskişehir
Gaziantep
Giresun
Gümüşhane
Hakkâri
Hatay
Iğdır
Isparta
İstanbul
İzmir
Kahramanmaraş
Karabük
Karaman
Kars
Kastamonu
Kayseri
Kilis
Kırıkkale
Kırklareli
Kırşehir
Kocaeli
Konya
Kütahya
Malatya
Manisa
Mardin
Mersin
Muğla
Muş
Nevşehir
Niğde
Ordu
Osmaniye
Rize
Sakarya
Samsun
Şanlıurfa
Siirt
Sinop
Sivas
Şırnak
Tekirdağ
Tokat
Trabzon
Tunceli
Uşak
Van
Yalova
Yozgat
Zonguldak
11
°
Özel Haber
Gündem
Politika
Ekonomi
Dünya
Spor
Magazin
Nöbetçi Eczaneler
Hava Durumu
Namaz Vakitleri
Trafik Durumu
Süper Lig Puan Durumu ve Fikstür
Tüm Manşetler
Son Dakika Haberleri
Özel Haber
Asayiş
Bilim - Teknoloji
Çevre - İklim
Dünya
Eğitim
Ekonomi
Gündem
Kültür - Sanat
Magazin
Politika
Sağlık
Spor
Yaşam
Çalışma Hayatı
Kadın
Yurt
2024 Seçim Sonuçları
Facebook
Twitter
Instagram
Linkedin
Youtube
Tiktok
WhatsApp İhbar Hattı
Özel Haber
Gündem
Politika
Ekonomi
Dünya
Spor
Magazin
Sağlık
Erken yaşta saç beyazlamasının 'gizli nedeni' ortaya çıktı
İkinci Bahar merkezlerinde yaşlılara yönelik diş sağlığı eğitimleri başladı
İlaç yokluğu krizine karşı Bakanlıktan yeni adım
Sağlık Politikaları Kurulu, ‘sigarının paketi en az 300 TL olmalı' dedi
Uzmanlardan 'serviks kanseri' açıklaması: 'HPV aşısı güçlü koruma sağlar'
Yenidoğanlarda kritik kalp hastalıkları için ulusal tarama programı başlatılıyor
‘Uzun süre ekrana bakmak göz ve kas sistemini zorluyor’
Obezite raporu: Türkiye riskli ülkeler arasında
Türkiye, pestisit nedeniyle en çok geri bildirim alan ikinci ülke oldu
‘Soğuk ve rüzgarlı havalar yüz felci riskini artırıyor’
Soğuk havayla birlikte grip ve nezlede kritik artış
7 saatten az uyumanın yaşam süresini kısaltabileceği keşfedildi
Aziz Sancar’dan beyin kanserinde çığır açan buluş: Ölümcül kanseri yok etti
Okullarda suçiçeği alarmı: Bu üç belirtiye dikkat!
Sağlık
Uyku sorunu yaşayan gençlere 'sabah güneşi' önerisi
Sağlık
Uzmanı uyardı: Doktor önerisi olmadan serum taktırılmamalı
Sağlık
‘D vitamini fazlalığı, organ ve vücut sistem hasarına yol açabilir’
Sağlık
Beyni sekiz yıl gençleştirebilecek dört basit alışkanlık açıklandı
Sağlık
Sağlık Bakanlığı'ndan ‘H3N2 virüsü’ açıklaması
Sağlık
SGK'nin geri ödeme listesine 72 ilaç daha eklendi
Sağlık
Uzmanı uyardı: Cam pipet kullanımına dikkat!
Sağlık
Uzmanı duyurdu: Türkiye'de lösemi tedavisinde başarı oranları artıyor
Gündem
'Bıçak parası' soruşturmasında profesöre tutuklama
Sağlık
Yenimahalle Belediyesi personeline Temel İlk Yardım eğitimi
Gündem
Yenidoğan Çetesi dosyasındaki iki doktor bu kez genç bir hastanın ölümüyle gündemde
Sağlık
Araştırma: Enerji içeceği, kalp krizi riskini artırıyor
Sağlık
Sağlık hizmetlerine büyük zam: Tedavi ve tıbbi malzeme ödemeleri artırıldı
Sağlık
Araştırma: 12 yaşından önce telefonla tanışan çocuklarda depresyon ve obezite riski artıyor
Sağlık
Yeşilay raporu: Kadınlar sigarayı erkeklerden daha kolay bırakıyor
Sağlık
Uzmanlar sekste en doğru zamanı açıkladı
Sağlık
DSÖ, 2024'te 1,3 milyon kişinin AIDS hastalığına yakalandığını bildirdi
Sağlık
Türkiye'de HIV vakalarının yarısı tespit bile edilemiyor!
Sağlık
Yabancılara sağlık hizmetlerinde katılım payı zorunluluğu getirildi
Sağlık
SMA ilacının üretimi Türkiye'de yapılacak
Sağlık
Türkiye'de her 10 çocuktan biri kısa boylu
Sağlık
Beyin 32 yaşında 'yetişkin moduna' geçiyor
Sağlık
Beyni gençleştiren kahvaltılık açıklandı
Sağlık
Ağrı'daki ağız ve diş sağlığı merkezleri günlük ortalama 1200 hastaya hizmet veriyor
Sağlık
Bakan Memişoğlu: Bu yıl 233 bin hekimimizden, sadece 412'si yurt dışına gitti
Sağlık
Kahramankazan’da menopoz farkındalık eğitimi
Sağlık
Diş Hekimliğinde Uzmanlık Eğitimi Giriş Sınavı 2026'da iki kez yapılacak
Sağlık
Gıdalarda pestisit kalıntılarının maksimum limitlerine ilişkin esaslar düzenlendi
Sağlık
Zayıflama ilaçları görme kaybına yol açabiliyor
Sağlık
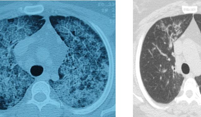
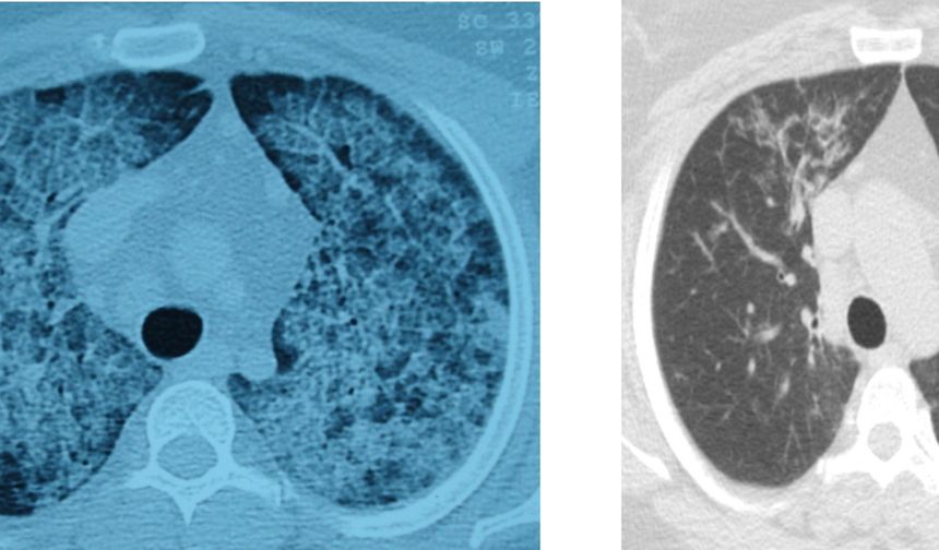
Akciğer kanserinde erken teşhis hayat kurtarıyor
Sağlık
Uzmanından sarsılmış bebek sendromu için 'erken müdahale' uyarısı
Sağlık
Rektör Prof. Dr. Kadirhan Sunguroğlu ‘Enine Boyuna Sağlıklı Yaşam’ı anlattı
Sağlık
Uzmanlar uyardı: Diyabet en çok gözlere hasar veriyor!
Sağlık
Kuzey Yarımküre'de 'H3N2' alarmı
Sağlık
Yumurta alerjisi olanlara ’grip aşısı’ uyarısı
Sağlık
Akciğer kanseri oranının erkeklerde yüzde 89,9, kadınlarda ise yüzde 43
Sağlık
Sağlık Bakanlığı’ndan obezite cerrahisine sıkı denetim
Sağlık
Sağlık hizmetlerinde, reklam, tanıtım ve bilgilendirmeye düzenleme
Sağlık
Çocukluk çağı lösemisinde tedavi başarı oranı yükseliyor
Sağlık
Kasıkta hissedilen şişlik ve ağrı kasık fıtığı belirtisi olabilir
Sağlık
Şap hastalığı nedeniyle Bolu’da 18 köy ve 4 mahalle karantinaya alındı
Sağlık
ABB’den Türkiye’de bir ilk: HPV aşısı yerel yönetim eliyle ücretsiz uygulanıyor
Kadın
Erken teşhis sayesinde meme kanserini iki kez yendi
Sağlık
Keçiören’de engelli bireylere özel ‘Engelsiz Ağız ve Diş Sağlığı’ eğitimi ve taraması
Sağlık
İddia: Zam geleceği için eczaneler grip aşısı tedarik edemiyor
Özel Haber
Psikiyatrist Yurdakul: Çocukluk travmaları, yetişkinlikte ölümcül davranışlara dönüşebiliyor
Sağlık
Sağlık Bakanı Memişoğlu duyurdu: Organ bağışında yeni dönem!
Sağlık
Sağlık Bakanlığı 26 bin 673 personel alacak
Sağlık
Sözleşmeli sağlık personeli yerleştirme sonuçları açıklandı
Özel Haber
Uzmanı uyardı: Lisanssız kulunç kırma sağlığı tehdit ediyor
Sağlık
Yaşayan bir insana ilk kez genetiği değiştirilmiş domuz karaciğeri nakledildi
Sağlık
Kadınlarda over kanserinde erken tanı hayat kurtarıyor
Sağlık
Akciğer yıkaması yöntemiyle hastalar yeniden rahat nefes alıyor
Sağlık
Her 5 saniyede 1 kişi görme kaybı yaşıyor
Sağlık
Bakan Işıkhan: 18 yaş altı diyabet hastaları için 610 milyon liralık reçete karşılandı
Sağlık
Gana'da maymun çiçeği virüsü vaka sayısı 583’e yükseldi
Sağlık
Meme kanserinde erken teşhisin hayati önemi bir kez daha vurgulandı
Özel Haber
Ekonomik kriz, gençler ve ailelerde psikolojik çöküşe yol açıyor!
Sağlık
Meme kanserinde yaş ilerledikçe risk artıyor
Sağlık
Bakan Memişoğu: Doğuma hazırlanan gebelerimizi bilinçlendiriyoruz
Daha fazla göster
Beşiktaş'ın yeni orta sahası İstanbul'da!
İstanbul Barosu Yönetim Kurulu Üyesi Fırat Epözdemir beraat etti
MSB'den 'TSK Resulayn'dan çekildi' iddiasına ilişkin açıklama
MSB’den Kobani’ye yardım açıklaması
Arıkan yanıtladı; Saadet Partisi, Yeniden Refah Partisi ile ittifak kuracak mı?
Öcalan 'Ankara'da ilk gittiğim yer Ülkü Ocaklarıdır' dedi; Bahçeli'den 'Araştırın’ talimatı
Eski Tahran Büyükelçisi Yardım’dan İran değerlendirmesi: Türkiye ne yapmalı?
CHP destekli yeni kanal kuruluyor: Sözcü TV’den çıkarılanlar işe alınacak
Arıkan yanıtladı; Saadet Partisi, Yeniden Refah Partisi ile ittifak kuracak mı?
Öcalan 'Ankara'da ilk gittiğim yer Ülkü Ocaklarıdır' dedi; Bahçeli'den 'Araştırın’ talimatı
Eski Tahran Büyükelçisi Yardım’dan İran değerlendirmesi: Türkiye ne yapmalı?
CHP destekli yeni kanal kuruluyor: Sözcü TV’den çıkarılanlar işe alınacak
Üst
Ana Sayfa
Kategoriler
Özel Haber
Asayiş
Bilim - Teknoloji
Çevre - İklim
Dünya
Eğitim
Ekonomi
Gündem
Kültür - Sanat
Magazin
Politika
Sağlık
Spor
Yaşam
Çalışma Hayatı
Kadın
Yurt
2024 Seçim Sonuçları
Foto Galeri
Video
Yazarlar
Röportaj
Biyografi
Anketler
Künye
İletişim
Servisler
Nöbetçi Eczaneler
Hava Durumu
Namaz Vakitleri
Trafik Durumu
Süper Lig Puan Durumu ve Fikstür
Tüm Manşetler
Son Dakika Haberleri
Haber Arşivi
Web sitemizden ayrılıyorsunuz
Bu bağlantı sizi
https://www.elipshaber.com
dışındaki bir siteye yönlendiriyor.